Invisalign® First
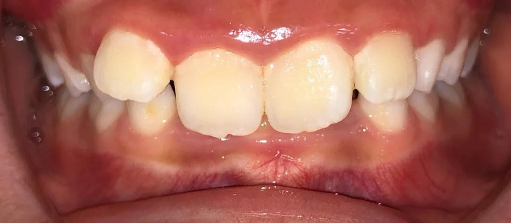
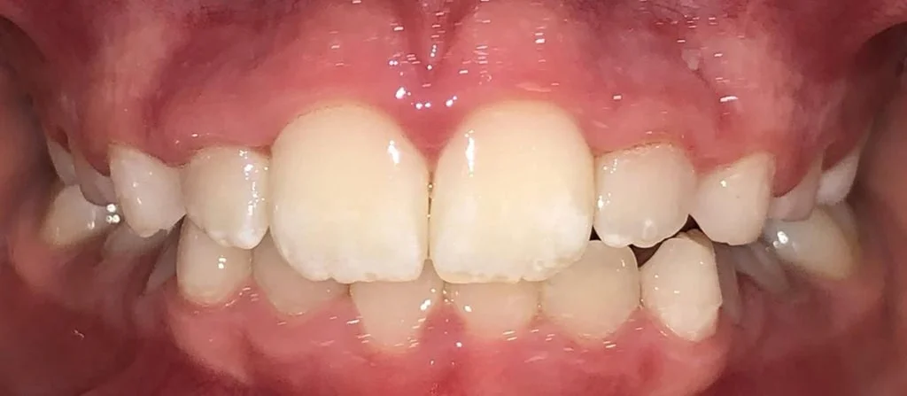
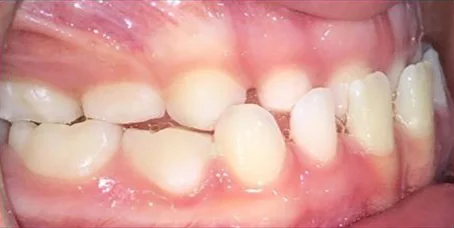
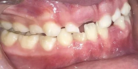
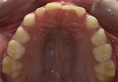
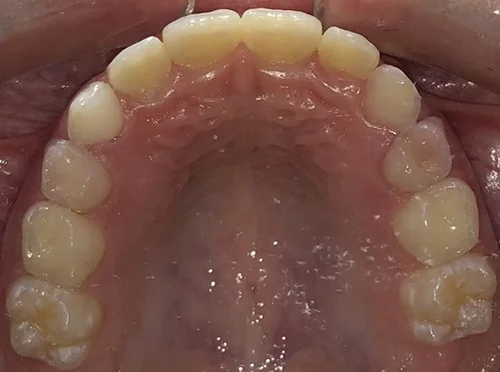
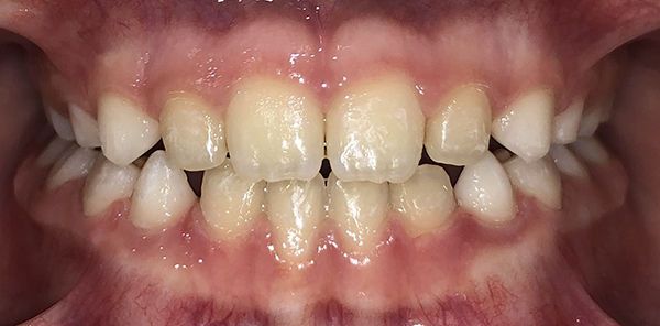
Actual Patient: Victoria

Before

After

Before

After
Severe crowding, Narrow Jaws, Severe Deep Bite
Front View
Top View
Right & Left Sides
Treatment Time: 8 months
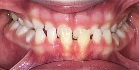
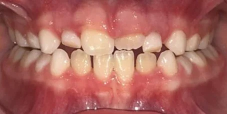
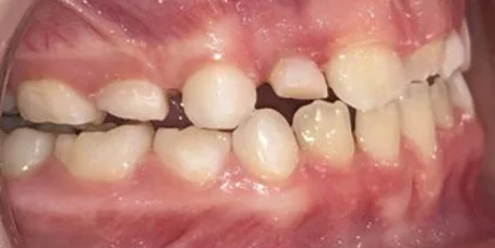
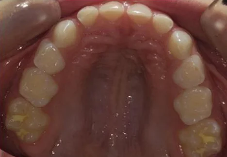
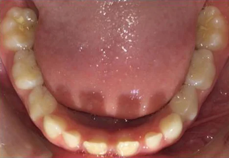
Actual Patient: Leanna

Before

After

Before

After
Severe “Overbite”, BUCK TEETH, Narrow Jaws, Severe Deep Bite, Mouth breathing
Front View
Top View
Right & Left Sides
Treatment Time: 7.5 months
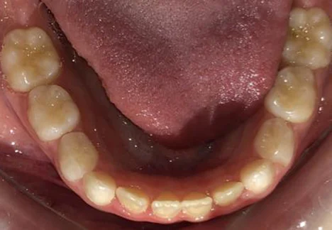
Actual Patient: Bailey

Before

After

Before

After
Severe “Overbite”, BUCK TEETH, Narrow Jaws, Severe Deep Bite
Front View
Top View
Right & Left Sides
Treatment Time: 7.5 months
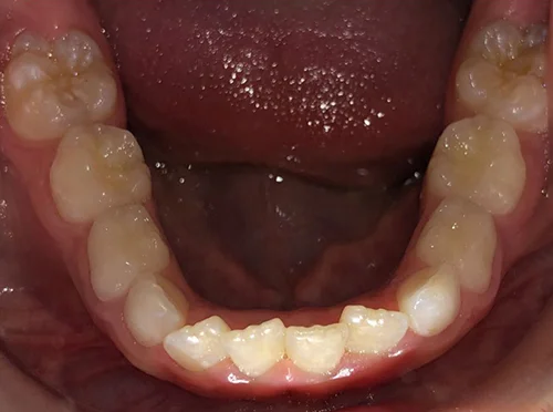
Actual Patient: Alexander

Before

After

Before

After
Severe “Underbite”, Narrow Jaws, Adult Teeth Not Growing In
Front View
Top View
Right & Left Sides
Front View Results

0 Month

6 Months

11 Months
Side View Results

0 Month

6 Months

11 Months
Top View Results

0 Month

6 Months

11 Months
Bottom View Results

0 Month

6 Months

11 Months



Actual Patient: Kai

Before

After

Before

After
Severe Crowding, Traumatic Bite, Severe Deep Bite
Front View
Top View
Right & Left Sides
Treatment Time: 6 months
Actual Patient: Casen

Before

After

Before

After
Severe crowding, Severe Deep Bite with trauma, Narrow Jaws

Before

After

Before

After
Actual Patient: Samuel

Before

After

Before

After
Severe “Overbite”, BUCK TEETH, Narrow Jaws, Severe Deep Bite, Blocked out teeth
Front View
Top View
Right & Left Sides
Actual Patient: Heath

Before

After

Before

After
Severe open bite, crowding, narrow upper jaw with cross-bite, blocked out teeth
Front View
Top View
Right & Left Sides
GET STARTED
Request a Free Consult Today!
We’d love to have the opportunity to help you achieve a stellar smile!